Учёные выяснили, как наш мозг отличает воображаемое от реальности

Когда мы видим что-то в жизни и представляем это себе, наш мозг работает схожим образом. В рамках новой работы специалисты определили участок мозга, отвечающий за распознавание реальности.
В ходе недавнего исследования, результаты которого опубликованы в журнале Neuron, учёные выявили участок мозга, генерирующий то, что они называют «сигналом реальности». Этот сигнал оценивается затем другой областью мозга, нарушение работы которого связывают с шизофренией.
Чтобы понять, как мозг отличает реальность от вымысла, учёные показывали участникам эксперимента трудноразличимые узоры и одновременно проводили сканирование их мозга. Люди смотрели на экран со статическим фоном, на котором иногда был наложен едва заметный узор из диагональных полос. Эти полосы могли быть наклонены как вправо, так и влево.
Далее участников попросили представить себе узор с левым или правым наклоном, глядя на экран, а затем указать, отображался ли один из узоров на самом деле. Когда они искали и представляли этот узор, они чаще говорили, что видели его, даже если его не было. Это значит, что они ошибочно принимали воображаемое за реальность. Также их мысленные образы были ярче, когда узор присутствовал, при условии, что он соответствовал тому, что они представляли. Получается, что и наше восприятие чего-то может влиять на воображение.
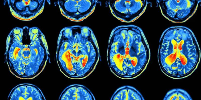
При помощи функциональной магнитно-резонансной томографии (фМРТ) мозга была выявлена более активная область, когда участники сообщали, что видели какой-то рисунок. Эта веретенообразная извилина находится в районе висков. Она активируется как при виде чего-то в реальности, так и при представлении этого. Интересно, что эта активация предсказывает, считаем ли мы что-либо реальным. Далее этот сигнал оценивается передней островковой долей. Активность выше определённого порога воспринимается как реальная, а активность ниже — как воображаемая.
Comments are closed.