Ученые впервые проследили, как меняется мозг человека от рождения до смерти

Сотни ученых по всему миру объединили свои результаты МРТ-сканирований для создания первой в мире диаграммы роста мозга.
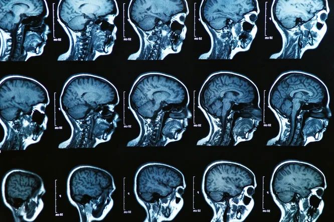
Исследователи собрали воедино тысячи сканирований мозга и составили эталонные диаграммы развития этого органа у человека
Хотя мы знаем, что человеческий мозг претерпевает ряд значительных изменений в течение жизни, у врачей сегодня нет возможности оценить, нормально ли развивается мозг в том или ином возрасте. Как выглядит нормальный здоровый мозг в 15 лет и чем он отличается от мозга в 45 лет? Ученые из Кембриджского и Пенсильванского университетов объединились с сотнями исследователей со всего мира, чтобы решить эту проблему.
Чтобы создать серию диаграмм, отслеживающих динамику развития мозга в течение жизни, исследователям сначала нужно было собрать огромный набор данных. Поскольку фМРТ головного мозга — дорогостоящий и трудоемкий процесс, одна команда ученых не могла собрать все необходимые данные. Поэтому исследователи стремились сотрудничать с сотнями ученых по всему миру, каждый из которых проводил свое собственные сканирования мозга.
Чтобы не потеряться и всегда быть на связи, читайте нас в Яндекс.Дзене и не забывайте подписаться на нас в Telegram, ВКонтакте и Одноклассниках!
Как мозг развивается на протяжении жизни
В результате масштабного проекта было собрано 123 984 МРТ-снимка от более чем 100 000 человек. Сканирование охватывало людей в широком интервале возрастов — от 100 лет до плода возрастом 15 недель.
В результате авторы исследования впервые смогли получить набор эталонных диаграмм, отслеживающих структурные изменения мозга на протяжении всей жизни человека. А масштаб набора данных позволил исследователям создать шкалу, позволяющую определить нормальные спектры размеров мозга для разных возрастных диапазонов.
Новое исследование показало, например, что объем серого вещества в человеческом мозге достигает пика в возрасте шести лет, но белое вещество продолжает расти примерно до 29 лет. Примерно в возрасте 50 лет объем белого вещества в головном мозге начинает стремительно уменьшаться.
Comments are closed.