Вызов научным представлениям о сознании — человек у которого отсутствует 90% мозга ведет нормальный образ жизни

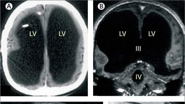
Когда у 44-летнего мужчины из Франции появилась слабость в ногах, он обратился в больницу. Именно тогда врачи сказали ему, что у него отсутствует большая часть мозга. Череп мужчины был полон жидкости, от него остался лишь тонкий слой мозговой ткани. Состояние известно как гидроцефалия.
"Он жил нормальной жизнью. У него есть семья. Он работает. Его IQ был протестирован во время его обследования. Он оказался 84, что немного ниже нормального диапазона… Итак, этот человек не гений но идеально, социально приспособленный", — удивляется доктор Аксель Клиреманс — когнитивный психолог из Свободного университета в Брюсселе.
Когда он узнал об этом случае, он увидел в нем не только медицинское чудо, но также и серьезный вызов теориям о сознании.
"Значит ли это, что за сознание отвечает не одна область мозга? Именно так. Эти случаи определенно являются вызовом для любой теории сознания, которая зависит от очень специфических нейро-анатомических представлений.".
Comments are closed.