Cамая страшная болезнь: почему Франция приостановила изучение прионов?

Представьте, что вы вдруг почувствовали себя плохо. Сначала появилась жгучая боль в правом плече и шее, которая усилилась и распространилась на правую половину тела. На протяжении шести месяцев боль не отступала, а следом за ней последовали депрессия, беспокойство, ухудшение памяти и галлюцинации. Страшно представить, не так ли? Однако именно это в 2017 году произошло с сотрудницей одной из французский лабораторий по имени Эмили Джомейн – три месяца спустя после постановки диагноза женщина умерла. Причиной смерти, как оказалось, стало заражение прионами. Прионы – это тип белка, обычно встречающийся в головном мозге. Вот только эти белки могут превращаться в неправильно свернутую форму самих себя, которая медленно превращает другие «нормальные» прионы вокруг них в изгоев. Со временем этот каскадный эффект распространяется по всему мозгу и разрушает его, оставляя после себя характерные отверстия, похожие на губки. Самая известная прионная болезнь – это болезнь Крейтцфельдта-Якоба или «коровье бешенство». Смертность от нее (с момента проявления симптомов) составляет 100%. В этой статье поговорим о том, почему сразу пять исследовательских институтов Франции приостановили изучение этих инфекционных агентов.
Государственные исследовательские лаборатории во Франции временно прекращают свою работу по изучению прионов после того, как по меньшей мере двое сотрудников, как полагают, заразились редким, но повсеместно смертельным прионным заболеванием головного мозга.
Прионы – необычные инфекционные агенты
Прионы, впервые описанные в 1982 году доктором Стэнли Прусинером из Медицинской школы Калифорнийского университета, образуются из белков, обычно присутствующих в головном мозге. Когда белки превращаются в прионы, они принимают самораспространяющуюся форму и по мере накопления приводят к дисфункции мозга. Затем, распространившись по всему органу, они наносят ему необратимый ущерб.
После обнаружения прионов Прусинер выдвинул гипотезу, согласно которой некоторые болезни вызваны не вирусом или бактерий, а белком, принявшим аномальную форму. Со временем прионная гипотеза объяснила, почему таинственный инфекционный агент устойчив к ультрафиолетовому излучению, которое расщепляет нуклеиновые кислоты, но восприимчив к веществам, разрушающим белки.
Процесс, посредством которого происходит это изменение, неясен, и в настоящее время проводится большая работа по установлению структуры прионного белка как в его нормальной, так и в аберрантной формах, – пишут исследователи.

Нейродегенеративные заболевания, вызваны прионами, буквально превращают мозг в губку.
Недавно ученые разработали молекулярную модель обоих вариантов и опубликовали работы, описывающие структуру прионных белков (изготовленных бактериями кишечной палочки (E. coli), которые были изменены с помощью методов рекомбинантной ДНК).
Дальнейшая работа с использованием магнитно-резонансной томографии и рентгеновской кристаллографии должна помочь исследователям понять ключевые структурные элементы, которые позволяют прионам вызывать заболевание. Вполне вероятно, что другие клеточные компоненты помогают им в этом процессе, поэтому работа над пониманием клеточной биологии обеих форм белка жизненно необходима.
Прионные болезни – что нужно знать?
К болезням, вызываемым прионами, исследователи относят ряд смертельных нейродегенеративных заболеваний у людей, таких как болезнь Крейтцфельдта-Якоба (CJD), болезнь куру и болезнь Герстмана-Штреслера-Шейнкера (GSS). Прионы также вызывают заболевания у широкого спектра других животных, включая губчатую энцефалопатию крупного рогатого скота и хроническую изнуряющую болезнь у оленей (CWD). В совокупности эти заболевания называются трансмиссивными губчатыми энцефалопатиями.
Интересно, что причина придонных заболеваний оставалась для ученых загадкой на протяжении многих лет. Впервые эпидемическая инфекционная болезнь под названием куру была выявлена в 1950-х годах в племени Форе Папуа-Новой Гвинеи.
Передача болезни произошла во время ритуального похоронного процесса, в ходе которого мозг умершего члена племени был извлечен из черепа, приготовлен и съеден. Научный анализ мозга людей, умерших от коровьего бешенства или куру, показал, что их мозговая ткань имела губчатый вид. То есть там, где должны были быть клетки, были отверстия, указывающие на энцефалопатию или уменьшение количества клеток мозга.

В двадцать четвертой серии второго сезона «Секретных материалов» жители городка заразились коровьим бешенством. К слову, весьма экстремальным способом.
Ранее исследователи из Национального института здравоохранения США продемонстрировали, что образцы мозговой ткани, полученные от людей, умерших от коровьего бешенства или куру, могут вызывать аналогичное заболевание у шимпанзе. Эти эксперименты, очевидно, предполагали наличие инфекционного агента.
Прионы могут передаваться, возможно, при употреблении в пищу и, безусловно, путем попадания инфекции непосредственно в мозг, либо в кожу и мышечную ткань. Случайные, спорадические случаи прионных заболеваний возникают в среднем или пожилом возрасте, предположительно, потому, что существует очень небольшая, но реальная вероятность самопреобразование прионов; совокупная вероятность такого перехода растет с годами, – отмечают исследователи.
Что произошло во французской лаборатории?
Прионные заболевания встречаются очень редко, при этом доступных методов лечения не существует, и люди обычно умирают в течение нескольких месяцев или года с момента появления симптомов, которые обычно включают слабоумие и двигательную дисфункцию.
Первые случаи заражения коровьим бешенством были зарегистрированы в 1990-х годах, после употребления в пищу мяса зараженных животных. Что же до наших дней, то первый случай заражения прионами произошел в 2017 году. Лаборантка Эмили Джомейн почувствовала себя плохо в конце 2017 года, а спустя три месяца после постановки диагноза (который подтвердился посмертно) она умерла. Эмили было всего 33 года.

Эмили Джомен в 2010 году. Именно тогда она подверглась воздействию прионов.
Хотя есть вероятность того, что Джомейн заразилась в другом месте, самая большая вероятность на сегодняшний день заключается в том, что она заразилась им во время лабораторной аварии в мае 2010 года – тогда она проколола кожу щипцами, которыми обрабатывали замороженные, зараженные прионами образцы мозговой ткани мышей, генетически сконструированных для разработки человеческих прионов.
Французские исследователи сообщили о трагическом случае в прошлом году. Джомейн работала в лаборатории Национального исследовательского института сельского хозяйства, продовольствия и окружающей среды (INRAE), когда, предположительно, подверглась воздействию инфекционных агентов.
Мораторий на изучение прионов
Трехмесячный мораторий на дальнейшее изучение прионов во Франции был введен после того, как сотрудники INRAE сообщили, что еще одному сотруднику одной из лабораторий также был поставлен диагноз CJD. Открытия второго случая оказалось достаточно, чтобы вынудить INRAE и четыре другие общественные исследовательские организации ввести трехмесячный мораторий на исследования прионов – на время расследования обстоятельств второго случая.

Так выглядят прионы – Белковые соединения с определённой конфигурацией, способные трансформироваться в патогенные и вызывать нейродегенеративные процессы в головном мозге.
Как сообщает журнал Science, коровьим бешенством заразилась сотрудница лаборатории, которая уже вышла на пенсию и все еще жива. Неизвестно, какая именно форма CJD что может быть решающим ключом к пониманию происхождения ее болезни.
Большинство случаев коровьего бешенства носят спорадический характер и, по-видимому, возникают без какой-либо конкретной причины. Известно, что в некоторых случая эта болезнь наследуется, то есть встречаются у людей с определенными наследственными мутациями.
Чаще всего болезнь ассоциируется с передачей от другого животного, как правило коровы. Эти формы заметно отличаются от спорадических, причем спорадические случаи чаще возникают у пожилых людей, в то время как болезнь Крейтцфельдта-Якоба, как правило, поражает более молодых пациентов.
Теоретически, однако, все формы CJD могут передаваться при достаточно близком контакте с инфицированным мозговым веществом (другая прионная болезнь, куру, печально известна каннибализмом).

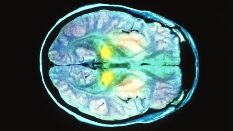
Сканирование мозга пациента с болезнью Крейтцфельдта-Якоба.
Друзья и коллеги Джомейн призвали к усилению мер безопасности в лабораториях во время исследований прионов.
Известно, что лабораторные инфекции возникают со многими патогенами, но воздействие прионов, вызывающих болезнь Крейтцфельдта-Якоба, необычайно рискованно, потому что ни вакцин ни методов лечения не существует. И в то время как большинство инфекций выявляются в течение нескольких дней или недель, средний инкубационный период CJD составляет около 10 лет.
Comments are closed.